2025年6月2日深夜,一位95岁高龄患者被紧急送入我院普外六科急诊外科病房,由此展开了一场与死神赛跑的生死营救……
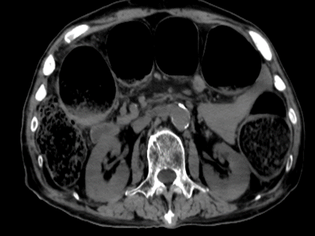
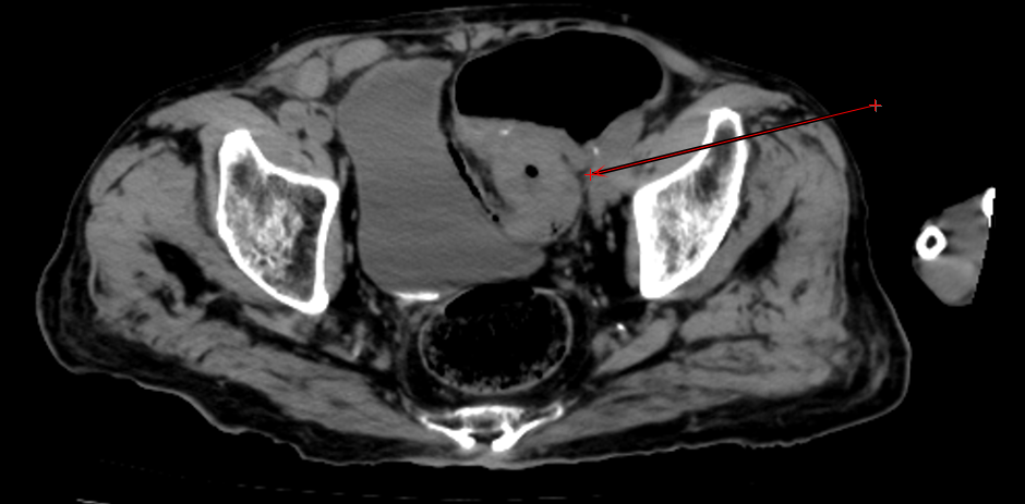
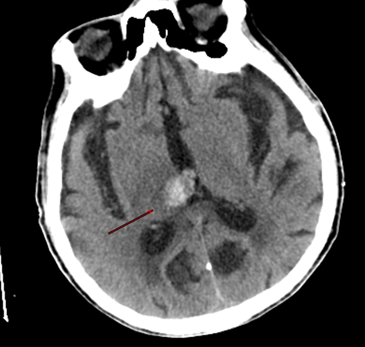
"患者意识不清,双侧瞳孔不等大!"接诊医生周淑清的呼喊打破了夜的宁静。急诊团队立即启动绿色通道,15分钟内完成头胸腹CT检查。
结果令人揪心:急性脑出血合并乙状结肠癌完全性肠梗阻,肠镜结果乙状结肠肠腔完全堵死。"就像两把刀同时架在脖子上。"患者的主治医师邵庆亮这样形容当时的危急情况。




脑出血急性期是乙状结肠癌手术的禁忌,但乙状结肠癌造成的肠梗阻不解决会随时危及患者的生命。普外六科主任张志强意识到病情的危急和复杂,立即召集科室医生讨论手术方案。经综合考虑及评估,大家一致表示,“做、必须做”,立即为其实施乙状结肠癌切除、乙状结肠单腔造瘘术,这个决定的背后,是不辜负"把急诊外科打造成生命最后防线"的嘱托,也是全体医生顶住压力、承担风险的担当。
随即,立即启动全院会诊,各相关科室积极响应,心血管内科、呼吸与危重症医学科、神经内科、神经外科、麻醉科、重症医学科等均派出经验丰富的医生参加会诊,综合评估患者的手术风险,同时针对术中术后患者可能出现的问题制定了应急预案,一场生命保卫战迅速打响。

邵庆亮医生(中)手术中
无影灯下,手术团队面临重重挑战:血压波动可能加重脑出血、 高龄患者器官代偿能力差、肿瘤浸润增加手术难度……手术团队采用改良术式,将手术时间压缩至100分钟。手术成功了!"每一秒都在与死神拔河。"邵庆亮医生术后坦言。
而术后的患者意识淡漠,不能咳痰、吞咽,坠积性肺炎、发热、心衰、肾衰竭等一系列难题仍然对医护人员进行着严峻的考验……很幸运,经过ICU病房的及时精准治疗,患者各项指标逐渐稳定。
出院那天,听着老人及家属感谢的话语,我们真正体会到了坚持的意义。
文、图/普外六科 邵庆亮