您的位置: 网站首页 > 新闻中心 > 健康科普 > 正文

健康科普

我院心脏瓣膜微创介入治疗新突破成功开展首例经导管二尖瓣钳夹术

发布日期:2023-07-24     作者:文、图/心血管病治疗中心 张晓娇 栾波


近日,我院心血管病治疗中心结构性心脏病团队成功为一名高危的患者实施经导管二尖瓣钳夹术(MitraClip),该手术的开展对我院结构性心脏病的治疗具有里程碑意义,也是在我院多学科协作、努力创新的方针指导下,在臧培卓院长的鼓励下,侯爱洁副院长大力支持下,心血管病治疗中心全体同志不甘人后、努力拼搏的结晶,使我院在心脏瓣膜微创介入治疗领域更上一层楼。

“医生,我躺不下,都说我心脏有积液,心衰,我就想躺着睡个好觉……”一位78岁老年患者来到心血管病治疗中心副主任栾波的门诊痛苦地说道,栾波主任询问病史得知,这位大娘因反复心衰住院,检查发现为“二尖瓣极重度关闭不全”,二尖瓣反流颈宽度高达10.6mm,收缩期血流逆向从左心室反流至左心房,从而使动脉系统有效供血降低,肺循环及静脉系统血流淤滞,并且已经出现中重度肺动脉高压,大量心包积液,心衰十分严重,病情刻不容缓,随时有猝死的风险!

因该患者高龄、体质差、传统的外科开胸手术风险极高,栾波主任带领结构性心脏病瓣膜团队仔细分析了患者病情,最终为患者制订了目前国际上最先进、最复杂的微创心脏瓣膜介入手术——经导管二尖瓣钳夹术(MitraClip),减少瓣膜反流、减轻心肺负荷,以最小的痛苦缓解、改善患者的症状。

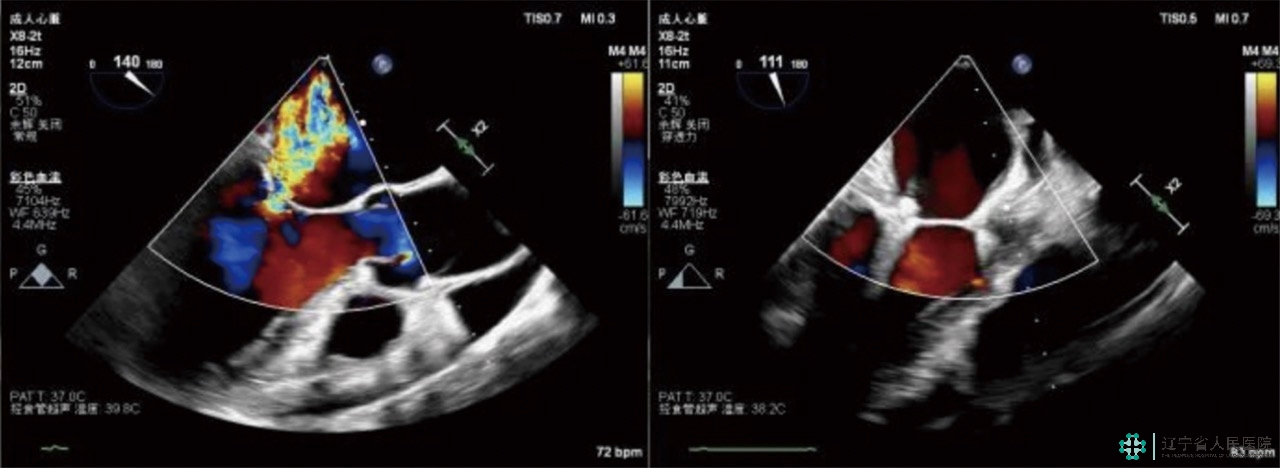
图说:术前术后心脏超声对比

二尖瓣钳夹术需要栾波主任带领的临床结构性心脏病团队、丁明岩副主任带领的心脏超声团队、张静主任带领的麻醉科团队多学科密切配合,在全麻状态下经股静脉置管、经食道超声(TEE)引导房间隔穿刺后置入导引鞘管,将夹合器精准送达二尖瓣反流区,在TEEX线引导下,手术团队利用二尖瓣夹(Mitraclip)准确捕获二尖瓣叶,试夹闭后超声证实有效,释放成型夹,术后超声评估夹闭区域内测反流几乎消失、夹合稳定、肺静脉逆流改善、平均跨瓣压差3mmHg,瓣口面积2平方厘米,患者各项生理指标正常,最终高质量地为患者完成了MitraClip,术后二尖瓣关闭不全程度由极重度变为轻度,手术顺利完成,大大改善了患者的心功能。

近年来,在侯爱洁副院长及李占全教授的指导下,在心脏大血管外科、心功能科、麻醉科、放射科等多学科的支持与配合下,栾波主任带领的结构性心脏病团队已开展瓣膜微创介入手术多年,技术成熟,能够经颈动脉、经腋动脉、经股动脉多种入路方式,完成二叶瓣重度钙化、横位心升主增宽、冠脉高风险、瓣叶增厚无钙化、二尖瓣机械瓣术后等复杂主动脉瓣介入置换手术。此次经导管二尖瓣修复术的开展,标志着我院微创心脏瓣膜介入治疗开始向深水区、高层次发展,必将对我院心血管病治疗中心的可持续发展具有深远影响。






上一条:骨五科(脊柱外二科)完成我院首例脊柱转移瘤新型射频消融手术

下一条:同心共促百姓健康 我院参加省直机关工委、省卫生健康委联合组织的“为民服务免费义诊活动”

版权所有:辽宁省人民医院  ALL RIGHTS RESERVED

医院地址:中国·辽宁 沈阳市沈河区文艺路33号

备案编号:辽ICP备19018723号-2

技术支持:博达软件

本站内容仅供参考,不作为诊断及医疗依据!

咨询电话:024-24016001

您是第 位访客,感谢您的关注!