近年来,结直肠癌在国内发病率直线上升,肝转移的发生率也越来越高,作为结直肠癌患者的主要死亡原因,肝转移的治疗一直是结直肠癌治疗的重点和难点。

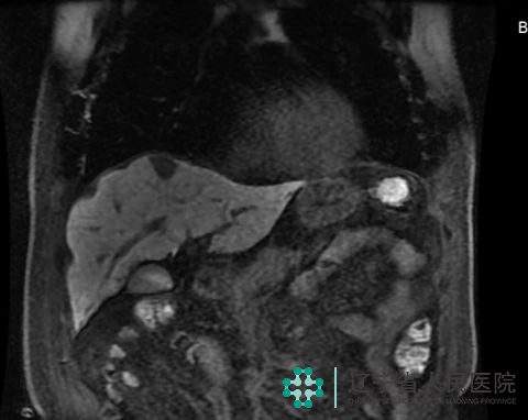
8月25日,我院普外六科(胆胰外科)收治一名乙状结肠癌根治术后10月肝转移的患者,由于转移灶位置特殊——位置深于肝脏VIII段,离心脏近,常规经腹入路,游离肝脏范围广,手术难度大。
副院长卜献民带领胸外科主任王振元、放射科主任鞠蓉晖、肿瘤科(放疗科)主任赫丽杰、介入医学科主任周玉斌、麻醉科主任张静、普外六科主任张志强及主治医师郭恩玲组织MDT(多学科诊疗)研讨。
经讨论研究,针对该患者适合实施个体化治疗方案——行经胸腔镜肝转移癌切除术。胸外科副主任医师杨海涛协助卜献民副院长于胸腔镜下打开膈肌,在术中超声的指引下确定肿瘤位置,充分暴露肿瘤,顺利进行了肝部分切除术。

据悉,该疾病传统手术需要肋缘下切开近25cm切口,而该手术切口创伤小、术后恢复快,患者术后第一天便恢复饮食,离床活动。目前患者状态良好,正在康复中。
普外六科(胆胰外科)经过多年的探索和积累,在肝脏胆道疾病的微创治疗方面取得了长足进步,团队一直致力于肝胆的微创治疗,为广大患者寻求更安全、更适合、更优化的治疗方式。

卜献民
副院长
主任医师 教授
外科学博士 硕士研究生导师
国际肝胆胰协会中国分会MDT专业委员会委员、中国医师协会微无创医学专业委员会胰腺专业委员会委员、中华医学会辽宁分会脾脏及门脉高压学组副组长、辽宁省生命科学学会肝胆胰外科及数字医学分会青委会主任委员、辽宁省免疫学会普通外科分会副主任委员、辽宁省细胞生物学会胆胰疾病学组副主任委员 。
擅长肝、胆、胰、脾外科疾病的诊断和治疗。对各种肝脏良恶性肿瘤、胆道肿瘤、胰腺囊性肿瘤、胰腺癌、脾肿瘤等疾病的早期诊断、微创、传统手术治疗及综合治疗有独到之处。对胆石症的微创及手术治疗造诣颇深。对重症胰腺炎的外科清创治疗及门脉高压症的外科治疗方面积累了丰富的临床经验。