多发伤,即由一个致伤因素引发的机体多部位或脏器损伤,因其高致死率和治疗的紧迫性,一直是医学界的重大挑战。近日,我院急诊外科病房在多学科协同下,成功救治了多例急重症多发外伤患者。
病例一

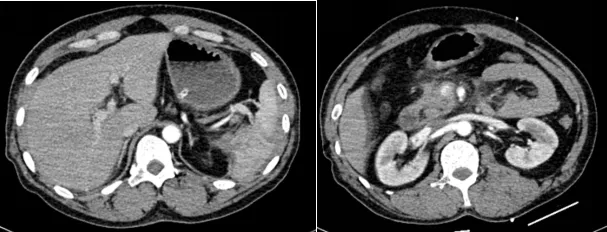
胰周、脾周大量渗出、血肿形成

双侧股骨、右侧胫骨粉碎性骨折
患者曹某,37岁男性,因严重交通事故导致全身多处损伤,包括腹腔血肿、胰腺损伤、双下肢骨折等,病情危重。在转入我院后,急诊外科团队迅速评估并启动紧急手术,成功止血并引流,术后经过ICU团队的精细治疗,使患者转危为安,并在骨一科完成了多处骨折的修复手术,最终治愈出院。
病例二

脾破裂、左肱骨骨折、颅骨多发骨折及下颌骨骨折
患者孙某,19岁男性,同样因车祸导致头部、胸部、腹部等多处损伤,包括创伤性脾破裂、急性创伤性胰腺炎等。面对复杂病情,急诊外科团队与时间赛跑,启动创伤绿色通道,优先处理腹腔脏器损伤,成功挽救了患者的生命。在多学科的共同努力下,患者完成了多处骨折的修复手术,术后恢复良好,顺利出院。
病例三

脾破裂、胰腺损伤

肩胛骨粉碎性骨折、多发性腰椎骨折、多发肋骨骨折
患者蒲某,48岁男性,因高处坠落导致头部、腰背部、腹部等多处损伤。在急诊外科、ICU和骨一科的紧密协作下,患者也成功接受了手术治疗,并顺利康复出院。
这些病例的成功救治,体现了我院急诊外科团队的专业素养和高效协作能力,也彰显了多学科协作在急危重症救治中的重要作用。作为辽宁省综合类区域医疗中心,我院在重症创伤患者的救治中展现出显著优势,为更多患者带来了生命的希望。
未来,医院将继续秉承“以患者为中心”的服务理念,不断提升医疗技术水平和服务质量,为更多急重症患者提供及时、有效的救治。
文、图/急诊外科 付冠宇 臧辉