您的位置: 网站首页 > 正文

省医专家说

我院呼吸与危重症医学诊治中心组织召开本年度第三场肺真菌感染病例分享会

发布日期:2024-05-20     作者:文、图/呼吸与危重症医学诊治中心 柳立岩

自年初以来,我院呼吸与危重症医学诊治中心坚持每个月组织召开1次疑难病例讨论会,将特色病例或专题讲座分享给大家,同时邀请相关学科专家参会,共同点评、提出更合理的解决方案,为更多患者解决病痛。

呼吸科疾病往往病程长、不易诊断、不易治愈,患者非常痛苦,本次疑难病例分享会主要分享的是2例肺隐球菌感染病例。


肺隐球菌感染常无诱因咳嗽、气短、不易明确诊断


4月18日,我院呼吸与危重症医学诊治中心组织召开肺真菌感染病例分享会,张雪云主任、由继辉主任、王岩副主任及呼吸与危重症医学诊治中心全体医生、轮转规培医生、实习生等参加会议。


呼吸与危重症医学诊治中心一病房柳立岩医生做2例肺隐球菌病例分享:


病例一



男性患者,63岁,因“无明确诱因咳嗽、咳黄黏痰伴气短近一个月”入院。患者无明显发热,无胸痛,无咯血,进食量减少,二便基本如常,夜眠可、无憋醒。2月25日,行胸部平扫3D-CT提示“右肺下叶多发病灶及双肺多发结节影、双肺间质性改变”等异常;3月诊断“真性红细胞增多症”及“中度骨髓纤维化”,肝功能异常;4月发现肺部多发结节影,性质未定。发现痛风4-5年,近期未用药。


否认宠物饲养接触史。入院时查体神清,语明,静息状态无明显喘息及紫绀,咽部无红肿,主气管居中,未见颈静脉充盈,颈前及锁骨上未触及明显肿大淋巴结。胸廓对称,听诊双肺呼吸音粗糙,右下肺闻及湿啰音。心律齐。腹部未见胃肠型及蠕动波,触诊软,未触及包块,未及压痛。双下肢无明显浮肿。


呼吸团队发现患者间隔40余日肺部新发病灶,符合感染性疾病特点。但患者症状、体征与肺部影像匹配度不佳,且该患者有血液病基础疾病,免疫受损。根据以上情况考虑需警惕隐球菌感染。进一步追问病史,该患者为绿化工作者,可能有隐球菌污染的土壤、鸟粪接触史。于是,进一步完善支气管镜及相关实验室检查,支气管镜下所见气管及各级支气管管腔通畅,未见新生物生长,少量分泌物。于是,确定诊断为肺隐球菌病。经对症治疗,患者咳嗽咳痰及气短症状减轻,肺部病灶缩小。



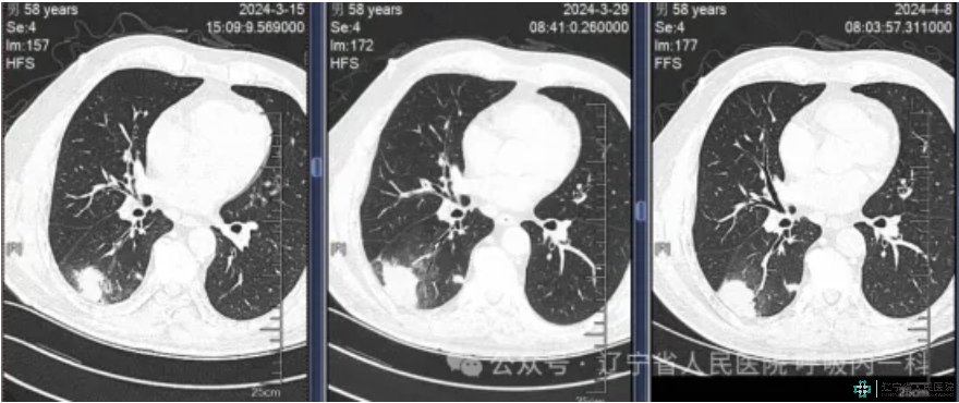
病例二



男性患者,58岁,因“咳嗽咳痰伴乏力1周”入院。糖尿病血糖控制不佳。查体无发热,未及确切阳性定位体征。肺CT检查显示右下肺多发团块影。考虑需警惕隐球菌感染。进一步完善相关检查后明确诊断为肺隐球菌病。给予针对性治疗10日后,复查CT发现肺部病灶减轻。



专业提示:治疗肺隐球菌病用药疗程一定要足够长


张雪云主任对本次病例讨论会进行了总结,首先肯定医生对病例的准备和对相关疾病的总结介绍,同时期望大家今后的医疗工作中加强对肺部真菌感染识别及诊治能力,更好的为患者的健康服务,减少患者的病痛及不必要的损伤。


由继辉主任强调,随着免疫受损患者的增多,和抗菌药及糖皮质激素的广泛应用,临床真菌感染患者显著增多,并发现无基础疾病患者隐球菌感染明显增多,这就需要我们医务工作者加强对真菌感染的认识,以期能给予患者及时、精准的治疗。


王岩副主任表示,面对越来越多的肺部真菌感染患者,我们要充分利用日新月异的实验室检测方式,充分利用支气管镜镜下检测及治疗,帮助患者尽早明确病原学诊断及给予针对性治疗。


疾病释义


*肺隐球菌病是由新生隐球菌感染所引起的亚急性或慢性深部真菌病。主要侵犯肺和中枢神经系统(由于脑脊液中缺乏正常血清中所含有的补体和抗隐球菌生长因子, 所以隐球菌性脑膜炎的发生率很高。)此外感染尚可累及皮肤、骨骼和前列腺等组织和器官。


*新型隐球菌是一种腐物寄生性酵母菌,不形成菌丝和孢子,具有荚膜,根据其荚膜抗原分为不同血清型,不同分型具一定的地域性差异,我国以A型居多。该菌广泛存在于土壤和鸽粪中,也可从水果、健康人的皮肤、黏膜和粪便中分离出来。


*肺隐球菌病的高危人群有:


(1) AIDS患者;


(2) 长期使用肾上腺皮质激素者;


(3) 器官移植者;


(4) 恶性肿瘤患者;


(5) 糖尿病患者;


(6) 结节病患者;


(7) 慢性肺部疾病患者, 如肺泡蛋白沉积症患者和慢性阻塞性肺疾病(COPD) 患者等。


*传播:环境中的新型隐球菌主要通过呼吸道进入人体引起疾病或使之成为带菌者。也可通过破损皮肤黏膜的接触及进食被污染的食物致病。


鸽粪被认为是最重要的传染源, 但至今未发现动物(包括鸽子) 与人, 以及人与人之间直接传播的证据。



上一条:我院获批全国心脏瓣膜病介入治疗建设单位 ——记再次起步、成长中的结构性心脏病团队

下一条:【热烈祝贺】我院呼吸与危重症医学科获评辽宁省临床重点专科

版权所有:辽宁省人民医院  ALL RIGHTS RESERVED

医院地址:中国·辽宁 沈阳市沈河区文艺路33号

备案编号:辽ICP备19018723号-2

技术支持:博达软件

本站内容仅供参考,不作为诊断及医疗依据!

咨询电话:024-24016001

您是第 位访客,感谢您的关注!