我国人口的日益老龄化,心衰和老年瓣膜疾病的诊治将是未来十几年甚至几十年的核心问题,必将成为衡量学科建设和学科发展水平的重要标志。目前,“退行性心脏瓣膜病”已成为老年人群中的常见病和多发病,发病率仅次于高血压和冠心病,随着年龄增长而递增,对健康影响大,即将成为制约人类寿命进一步延长的主要疾病之一。
再次起步的亚专科虽遇困难重重也可硕果累累
我院结构性心脏病亚专科始建于1986年,经历了创建-发展-停滞一再发力阶段,起步虽早、发展却慢。为了扭转这种局面,2017年,在时任中心主任侯爱洁教授大力支持和鼓励下,由中心副主任栾波担纲,从“人才建科”入手,内培外引,充分整合现有资源,以房缺、室缺等常见结构性心脏病介入治疗为铺垫,主动脉瓣狭窄介入治疗为突破口,再次使我院结构性心脏病亚专科迅速成长起来。
由于再次起步较晚,发展路上面临了很多这样那样的困难。但是,我们团队的所有成员信心满满,时刻牢记使命,不负院党委和领导的信任。2023年,经过努力,我们成功成为 “全国心脏瓣膜病介入治疗建设单位”!
尽管还很稚嫩,但我们相信,在未来的日子里,依托全院的支持和我们的拼搏,结构性心脏病亚专科必将长成参天大树,成为中坚力量,更好地守护辽沈大地百姓的健康。

请关注“退行性心脏瓣膜病” 是目前严重影响寿命的疾病之一



老年退行性心脏瓣膜病由老年人心脏瓣膜退行性变和钙质沉积所致,病情进展缓慢,主要累及心脏主动脉瓣和二尖瓣,导致瓣膜功能障碍,影响血流动力学改变。患者可有心悸、气短、乏力、心衰等不适症状,也可出现心绞痛、心力衰竭、心律失常,甚至昏厥及猝死,严重影响寿命和生活质量。老年退行性心脏瓣膜病常与高血压、冠心病合并存在,易被后两种疾病所掩盖。
心脏瓣膜疾病作为一种物理结构性改变,药物难以对其起到纠正作用,需采用传统外科或新兴介入治疗才能进行根本性治疗。数据显示,我国高龄老人瓣膜疾病发病率约为14%,每年需要治疗的瓣膜疾病在20万例以上。但真正能接受手术治疗的病人每年仅有不到8万人,超过15万病人失去手术机会。
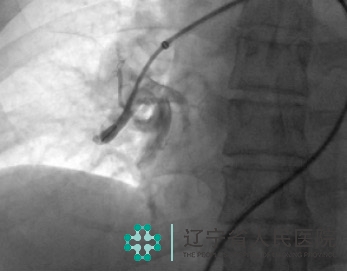
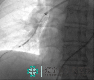
因传统外科手术需要在开胸、心脏停跳下进行,创伤大、风险高、恢复慢,高龄老人无法耐受。而微创介入治疗创伤小、恢复快,效果良好,已成为瓣膜治疗的首选。经导管主动脉瓣膜置换技术(简称TAVR)及二尖瓣钳夹术(简称MitraClip)的出现,使得高龄老年心脏瓣膜疾病的治愈率大大提高。
请走出 头痛医头脚痛医脚的误区 头痛也许是心脏的卵圆孔未闭导致的

33岁的外籍足球教练自幼反复出现头晕、头痛不适,多次在家乡及我国多家医院就诊,一直被诊断为“神经性头痛”,口服药物治疗,却效果不佳。多年来,饱受困扰。
近期头疼症状加重,不仅影响睡眠又出现了心慌、胸痛、血压升高等新症状。在神经功能科及心脏超声科做了发泡试验后,被诊断为“卵圆孔未闭”。
立即办理入院,崔春生副主任医师为其完成卵圆孔微创介入封堵治疗。术后,患者感到症状即刻明显缓解,推出手术间的时候,他认真地用中文连连说“舒服、舒服!”当天晚上,患者便睡了一个好觉,第二天血压也恢复了正常。
卵圆孔未闭是成人中最常见的先天性心脏病,发病率达20%-25% ,部分患者可出现胸闷、胸痛、气喘、呼吸困难、心悸、乏力等症状,也可出现偏头痛、头晕,甚至脑梗死、晕厥等严重症状。当出现反复顽固性头疼时,请及时寻求医生帮助进行明确诊断。
请警惕 慢性血栓栓塞性肺动脉高压 虽叫“慢性”病情却严重凶险危及生命




70岁的李阿姨反复出现胸闷、气短,日常需要靠轮椅出行。辗转多家医院治疗,效果不佳。来到我院,经过肺动脉CTA及超声心动图检查,确诊为“慢性血栓栓塞性肺动脉高压”,超声心动图提示重度肺动脉高压,右心室显著增大,收缩功能差,双肺部血管血流灌注缺损,病情非常严重。
经过慎重的术前评估,我们为其实施了经皮肺动脉球囊成形术,术中寻找到了严重狭窄甚至闭塞的肺动脉,进行有效球囊扩张。术后,患者活动耐量明显改善,胸闷、憋气症状得到缓解。
慢性血栓栓塞性肺动脉高压是急性肺血栓栓塞症后血栓持续未溶解、阻塞肺血管,引起肺动脉压力升高而导致的临床综合征。肺动脉压力越高,预后越差,当平均肺动脉压大于40mmHg时如不接受治疗,5年生存率仅为30%左右。
肺动脉球囊成形术的机理是通过肺血管小球囊扩张的方式改善阻塞血管的血流,达到重建肺循环的目的,对于无法耐受开胸手术的患者非常适用,治疗后,患者活动耐量可明显提高,部分患者可停用靶向药物。
我们倡导 临床与科研齐头并进
在栾波主任的带领下,结构性心脏病亚专科秉承临床与科研共同发展的理念,积极开展并参加各种临床研究。近期,正在参与的是北部战区总医院韩雅玲院士牵头的《中国东北地区经导管主动脉瓣膜置换术多中心登记研究》。
该项目为验证经导管主动脉瓣膜置换术治疗主动脉瓣膜狭窄患者的远期安全性及有效性,要求参研单位具有丰富的TAVR手术经验及团队协作能力。我院结构性心脏病团队作为参与单位之一,入组患者均为复杂、高危、重症患者,平均年龄70.3岁,除明确诊断为主动脉瓣重度狭窄外,还合并重度贫血、消化道出血、慢阻肺、呼吸衰竭、脑梗死等疾病,行外科换瓣治疗手术风险高。研究实践证明,TAVR是老年瓣膜疾病治疗的一种安全、有效的新方法。
攻坚结构性心脏病使我更有价值感
我是心血管内科青年医生陈宝君,很荣幸成为结构性心脏病亚专科团队中的一员。在栾波主任和崔春生老师的指导下,我对包括先天性心脏病、瓣膜疾病等结构性心脏病的治疗有了更多、更深入的理解和认识,对介入手术产生了浓厚的兴趣,也时刻被前辈们精湛的技艺和匠人精神所鼓舞。
结构性心脏病的手术技术难度大、学习周期长,围术期管理较为复杂,对年轻医生的要求非常高,但是当看到帮助众多心脏病患者回归正常工作生活、甚至挽救其生命时,我深深感到,这便是我奋发图强、坚持不懈,下定决心学好这门技艺的内核动力。今后,我会认真复盘每一次手术和每一个病例,提高专业技能,为更多的结构性心脏病患者解除病痛、重获健康贡献力量。
学科带头人

栾波
心血管病治疗中心副主任(主持工作)
主任医师 医学博士 硕士研究生导师
中华医学会心血管病学分会第十一届委员会介入心脏病学组委员
辽宁省医学会心血管病分会第十届委员会副主任委员
辽宁省心血管病预防与控制专业第二届委员会主任委员
辽宁省基层卫生协会胸痛中心建设专业委员会侯任主任委员
辽宁省医学会心血管病学分会第九届委员会冠心病学组副组长
辽宁省中西医结合心血管预防与康复专业委员会副主任委员
辽宁省生命科学学会心血管病全程管理专业委员会副主任委员
辽宁省老年医学会心血管病分会副主任委员
擅长复杂冠脉病变介入治疗及结构性心脏病介入治疗(如TAVR、Mitraclip)。先后承担两项国家自然科学基金主要负责人,主持辽宁省、市级课题6项,荣获辽宁科技进步奖3次,辽宁医学科技进步奖1次,辽宁医疗成果奖1次,中国人民解放军医疗成果奖4次等,参编中国专家共识6篇,共发表论文40余篇,其中SCI收录15篇,主编著作4部,参与编辑4部。