来自辽宁省本溪市的76岁赵阿姨,骶尾部疼痛近10个月,期间自行口服药等对症保守治疗未缓解,2022年8月开始出现二便异常,患者及家属于当地医院就诊,行相关检查后诊断为“骶骨肿瘤”,需要手术治疗,如果任凭病情继续发展,最终会导致患者二便功能永久丧失,严重影响正常生活。但由于该手术风险极大,且肿瘤周围有诸多重要脏器及血管,术中任何环节出现偏差,都会造成不可逆的后果,除此之外,术后切口愈合以及康复等一系列问题仍是巨大的挑战,建议前往上级医院进一步治疗。经多方询问,患者及家属最后找到辽宁省人民医院骨五科刘军、任伟剑团队进行诊治。
入院后,经过进一步诊治,手术难度比预想的大得多,而且患者当时已经出现了神经损伤的情况,查体时:一侧下肢肌肉力量开始下降,鞍区感觉和括约肌肌力丧失。该手术难度极大,既要保证肿瘤能够完整切除,又要避免损伤周围脏器及血管,除此之外,还要尽可能保留患者的神经功能。
团队专家经过了几轮研讨,进行术前会诊,最后制定了经骶1-2截骨、骶骨肿瘤En-bloc全切术(保留一侧骶1-3神经根)的方式为赵阿姨进行手术。



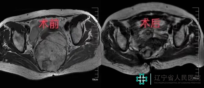
术前、术后MRI对比
整个手术持续大约4小时,非常顺利,术中有效地控制了出血量,在肿瘤完整切除的同时又保护了患者的大小便功能,术后病理结果确诊肿瘤为脊索瘤。
术后为了促进患者肢体神经功能的恢复,骨五科还采用了针刺穴位的方式来帮助患者快速康复,与ERAS(加速康复外科)这一理论相符合。患者术后恢复良好,患肢肌力从术前3级恢复至5级。


在大家的共同努力下,赵阿姨顺利康复出院,出院时已经能自如行走,二便功能也恢复了正常,赵阿姨及家属都露出了满意的笑容,“你们这个团队太好了,不管是医生还是护士,都认真负责,尽心尽力,无论忙到多晚都要来查房询问我们的病情,耐心解答我们的问题。不仅医术高明,医德更令我们感动,让我们感受到了家人般的温暖。”
刘军主任表示:虽然骶骨肿瘤在脊柱疾病中发病率一般较低,且发病比较缓慢,但必须引起高度重视,如果在无明显外伤或者诱因的情况下出现骶尾部疼痛及二便功能障碍,一定要及时到正规医院就诊。辽宁省人民医院骨五科刘军、任伟剑团队,年脊柱手术近千台,覆盖了脊柱退行性疾病包括颈椎病、腰椎间盘突出症、腰椎管狭窄症等;脊柱肿瘤以及复杂颅颈交界区手术等。其中特色技术包括脊柱肿瘤、脊柱微创手术,均处于东北领先、全国一流水平。